予防に勝る最良の歯科治療はありません。虫歯や歯周病を予防すれば、生涯に渡りいつまでも健康的な歯と歯ぐきを維持でき、食事や会話を楽しむことができます。
当院では検診とクリーニングに力を入れており、ここ代々木上原・代々木八幡・代々木公園の地域から予防意識を高めるためのお手伝いをさせていただけたらと考えております。
- まずは虫歯の有無、歯ぐきや歯槽骨の状態をチェックしましょう。(保険適用)
- 歯ブラシのときに血がにじむ、歯ぐきに違和感がある、歯石が付いている、口臭がする、このような症状がある方は特に要注意です。
- 歯石の除去や歯ぐきの炎症を治療するのは保険適用になります。
その他にもお口のメンテナンスとして下記のPMTCなどいくつかのオプションをご用意しております。
PMTC:歯の表面のクリーニング

トレーニングと経験を積んだ国家資格を保有した歯科衛生士が、専用の器具を使用し、歯の表面をキレイにクリーニングしていきます。清掃後はツルツルと気持ちの良い印象が得られ、定期的にこのPMTCを受けることで虫歯・歯周病の予防効果を高めます。
器具の先に取り付けるチップやカップは使い捨ての物を使用し、回すタービンは患者さんごとに内部まで洗浄・滅菌し、交換を行っております。
クリーニングでも思い通りの白さにならない場合は…
PMTC等のクリーニングは、本来の歯の色を取り戻し明るくする事は出来ますが、本来の歯の色より白くすることはできません。さらに歯を明るくしたい場合は、ホワイトニングをおすすめしております。
詳しくはこちら⇒前歯のホワイトニングへ
エアフロー:着色汚れ(ステイン)の除去

食べ物の着色汚れ気になりませんか。食べ物・飲み物の色素の影響で沈着した汚れを「ステイン」と呼びます。
詳しくはこちら⇒歯の着色汚れ・ステイン除去について
フッ素塗布:虫歯予防

上記クリーニング後は、フッ素を塗布することにより、歯の石灰化を促進させ、虫歯予防の効果が高まります。専用の使い捨てトレーにフッ素ジェルを流し込み、一定時間歯ぐきに、あてがいます。
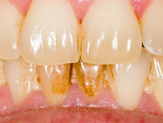
歯石除去:見た目の改善と歯周病予防

歯石が付いているか、気になりませんか。歯石は見た目の問題ばかりでなく、歯を失う原因第一位の歯周病を発症させる可能性があります。
〒151-0062 東京都渋谷区元代々木町27-7 SARA 1F
小田急線「代々木八幡駅」北口徒歩 4 分
東京メトロ千代田線「代々木公園駅」1番出口(代々木八幡方面)徒歩 4 分
小田急線・千代田線「代々木上原駅」 徒歩 8 分




