福富院長が考える審美歯科
――福富先生ご自身が考える審美歯科のポイントを教えてください。
さまざまな気を付ける点や考え方があるのですが、特に以下の3つに重点を置いています。
①歯ぐきも考慮した審美歯科

▲ピンクエステティック
セラミックの歯の質感に目がいきがちですが、はっきりいって難しいのは「ピンクエステティック」…いわゆる「歯ぐきの審美性」です。
絵画なんかもそうですが、絵が素晴らしくても、額が汚いと絵も良く見えない。たいしたことない絵でも額が立派であれば、高い絵に見えてくることもある。二つあっての初めての美術なわけです。それと同じことが審美歯科にも言えます。
歯肉はなかなか色も形も一筋縄では調節がしづらいんです。
よい審美歯科医師はもちろん歯ぐきにも気を使いますね。
②コスメティックなのか、エステティックなのか

「コスメティックデンティストリー」と「エステティックデンティストリー」という言葉があります。
歯科でいうコスメティックは、いわゆるわざとらしく並べられた歯や極端に白い歯など。よく一部の芸能人に明らかに不自然な歯が多く見られます。
たまにトイレの便器のような白い歯を入れてくれ、っていう方がいらっしゃいます。でもそれは自然じゃない。自分が学んだUCLAはエステティックデンティストリーなので、いかに自然と調和するか、いかに本物の歯に見せるかを考えています。
誰も作られた歯だとは分からないくらいの結果を目指すんです。
- コスメティックはキレイだけれども人工的
- エステティックは自然と調和している
と考えていただければ分かりやすいかと思います。
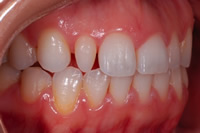
③誰が見てもキレイに見える値とバランス

▲美しく見える比率
そして、唇と歯と歯ぐきのバランスです。
笑ったときにキレイに見える誰がみてもキレイに見える値・割合というものがあります。
いわゆる万人受けするような理想のバランスがあるんです。
これに気を使いながら治療計画をたてていきます。
――なぜ、一部の芸能人に見られるような不自然な歯があるのでしょうか。
もしかしたら本人の意向によるところが大きいのかもしれません。
「ホワイトジャンキー」という言葉がありまして。ホワイトニングした歯で、周囲の人間は「十分白いですね」と思っていても、本人は「まだ白くないんじゃないか?」「もっと白くいけるんではないか」とエスカレートする傾向が出る場合があります。自分ではあまり気づかないんですね。
すきっ歯治療について
――全国から多くの患者さんが「すきっ歯治療」で来院されているそうですね。
おかげさまで都内の代々木公園の当院のこの地に県外からも、多くの方が見えられるようになりました。

※⇒ダイレクトボンディングの治療内容、治療期間、治療費、主なリスク、副作用についてはこちら
――すきっ歯治療やダイレクトボンディングは、他院でもやっているところもありますが、これだけ多くの反響を呼んでいる理由は?
やはり症例写真のバリエーションの豊富さ・数でしょうか。患者さんに来院理由をお尋ねすると「いっぱい写真があったのでいいなと思って来ました」との声が最も多いです。実際の症例数と仕上りのキレイさ・丁寧さには自信を持ってお勧めできます。
――どういう先生に診られるのか、どういう治療をされるか、最初、患者さんは分かりにくいですよね
ですので、当院としては、最初の来院で無料カウンセリングという形をとっています。チェアで簡単にお口を見て、ご本人がどういう治療を希望されるのかもお聞きします。
そして考えられる治療方法を幾つかご提案しまして、治療プランをお持ち帰りになり、後日当院で治療するかどうかをお決めいただいています。
――これは安心ですね。
もちろん、治療開始から、詳しいレントゲン撮影やコンサルテーション、また喜んでいただけている理由の一つが治療前に「モックアップ」と呼ばれる術前のシミュレーションです。いわゆる仕上りを事前に確認イメージできる方法で、治療の説明や方法が分かりやすいと好評です。

▲モックアップシミュレーションの例
術前に仮の詰め物で治療後のイメージを仮想。治療前に術後がイメージしやすい。

▲無料カウンセリング
相談だけでもかいませんし、当院では写真メール相談も行っています。実際にご来院いただければ、上記の術前シミュレーションも行えます。お時間のない方や遠方の方等は、即日治療も可能な場合がありますので、お気軽にお問い合わせいただければと思います。
ラミネートベニアについて

▲本物の歯と区別がつかないくらいのラミネートベニア
※⇒ラミネートベニアの治療内容、治療期間、治療費、主なリスク、副作用についてはこちら
実際に現地UCLAの女性の患者さんで、日本とアメリカのハーフのコなんですが、1本だけラミネートベニアにした方がいました。つい先日、その彼女から面白いエピソードを聞きました。他の歯科医院で検診を受けたそうなんですが、そこの歯医者さんが技工された歯だとは気付かなかったそうです。

▲矮小歯(先天性のもの)
本人がそのドクターに「これはラミネートベニアですよ」と伝えたんですが、最初は「本当にべニアなのか?」と信じてくれなかったそうです。
歯科医としては最高の褒め言葉、歯科医冥利につきる出来事でした。
こういう例は先天性のもので「矮小歯(わいしょうし)」というんですが、生まれつき歯が小さいという方は結構いらっしゃるんです。こういう方に最も適応な治療方法がラミネートベニアなんです。
開業地を代々木公園に選んだ理由
――なぜ開業の場所を代々木公園に選んだのですか?
開業する場所は都内で幾つか候補があったのですが、オフィス街や駅前のごみごみした場所では考えていませんでした。建物の雰囲気やたたずまいがアメリカのデンタルオフィスに似ていること、路地を一本入ったゆっくりした雰囲気で隠れ家的なカフェやレストランも多いこと、またこの代々木公園・代々木上原付近は大使館やインターナショナルスクールなどで外国人の方も多いですし、緑が多く落ち着いている場所ということ、またプライベートで遊びに来ていた土地ということもあり、この地に決めました。

当院は駅から少し離れ奥まっていて分かりづらいかもしれないのですが、何より落ち着いた場所で患者さんお一人おひとりに対してゆっくりと診ることができ、大変気に入っております。
――最後に将来の展望をお聞かせください
できるだけこの代々木公園・代々木上原の地域医療に貢献していきたいと考えています。ご近所の方には長い目で見て虫歯や歯周病にならないように定期的なメンテナンスでお口の健康を保っていただければと思います。
当院のすきっ歯や白い詰め物など特別な治療を必要とされている方には、遠方からお越しいただいて、その日のうちに治療が終了する即日治療も体験していただきたいです。
外国人の方々も、自分が現地UCLAで困っていたように、日本に来て歯の治療やメンテナンスで困っている患者さんもまだまだ沢山いらっしゃると思います。そういった方々に対してのもアメリカと同等のクオリティの治療とメンテナンスをご提供していけたらとの考えです。
当クリニックは、大きな歯科医院ではないですが、最初から最後まで一人のドクターが責任を持って全てを担当させていただきます。これからも担当ドクターが変わることなく、すべての治療とメンテナンスを責任を持って診させていただきます。
どんな方でも皆様にとって憩いの空間となれるような歯科医院であり続けたいと考えております。
――編集後記
実際に患者さんに対してのシミュレーションとカウンセリングの現場を目の当たりにしました。都内でもこれほど丁寧なカウンセリングと術前シミュレーションを導入している医院は少ないのではと感じました。
非常に穏やかで物腰柔らかな先生で、こういうお人柄こそがアメリカ人にも受け入れられ、審美歯科の本場の国でも素晴らしい治療実績を残せたのではないでしょうか。
「現状に甘んじることなくこれからも審美歯科を追及していきたい」とのお言葉が印象的でした。
フクトミデンタルオフィスのご予約・無料相談の際はぜひこの「インタビュー記事を見た」とお伝えください。あなたの現在のお口の状態に合わせた、最善の治療方法のアドバイスをしていただけると思います。
前のページ ⇒Dr.福富インタビュー(1)へ戻る
〒151-0062 東京都渋谷区元代々木町27-7 SARA 1F
小田急線「代々木八幡駅」北口徒歩 4 分
東京メトロ千代田線「代々木公園駅」1番出口(代々木八幡方面)徒歩 4 分
小田急線・千代田線「代々木上原駅」 徒歩 8 分




